há 2 horas
Publicado por Lucas Ribeiro

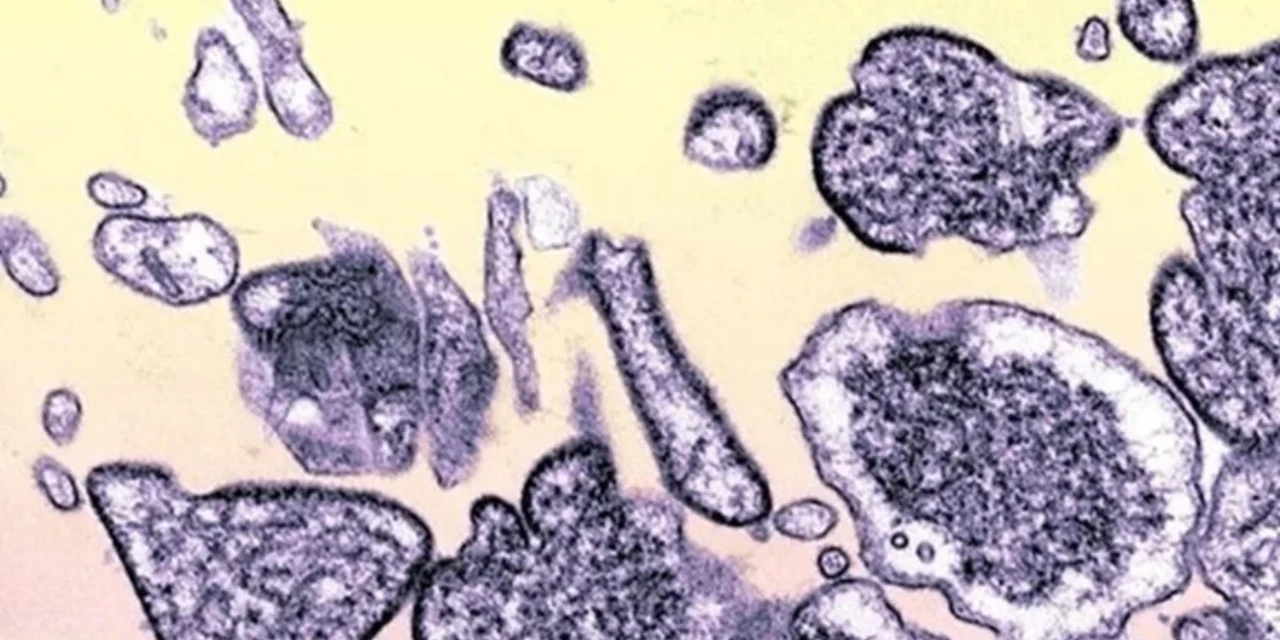
O governo da Índia confirmou cinco casos de pacientes infectados com o vírus Nipah. Considerado letal e acompanhado pela OMS como um dos patógenos prioritários para pesquisa, o Nipah circula normalmente entre morcegos e pode causar quadros graves em humanos. Informações do Metrópoles.
Cerca de 100 pessoas estão de quarentena para evitar que o vírus se espalhe. Todos os pacientes estão sendo tratados em Calcutá e um deles está em estado crítico. Alguns dos pacientes são profissionais de saúde que tratavam pessoas infectadas.
A transmissão acontece, primeiramente, com o consumo de alimentos contaminados. Porém, pessoas infectadas podem passar o vírus para outros indivíduos.
Os principais sintomas do Nipah são dor de cabeça, febre, dor muscular, dor de garganta e vômitos. O paciente também pode sentir, em um segundo momento, tontura, sonolência, consciência alterada e sintomas neurológicos. Outros sinais da infecção são pneumonia atípica, desconforto respiratório agudo e outros quadros respiratórios graves.
Caso o paciente desenvolva encefalite e chegue a ter convulsões, pode entrar em coma dentro de 24h a 48h. O período entre a infecção e o início dos sintomas pode ser de quatro a 14 dias, mas o vírus pode ficar no corpo por até 45 dias. A taxa de letalidade pode chegar a 75% dos casos, a depender da estrutura médica e de vigilância epidemiológica do local.
Não existe tratamento ou vacina contra o vírus Nipah. A OMS considera que a pesquisa sobre o vírus é prioritária, uma vez que ele pode vir a causar uma futura pandemia. Por enquanto, o vírus circula majoritariamente na Índia e em Bangladesh, e as chances que ele chegue ao Brasil são baixas.