há um mês
Publicado por Amanda Martins

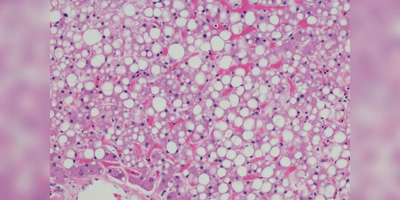
Cada vez mais comum entre os brasileiros, a esteatose hepática, conhecida popularmente como gordura no fígado, tem se tornado motivo de alerta para os profissionais de saúde. A condição é muitas vezes silenciosa, mas pode evoluir para doenças graves se não for diagnosticada e tratada a tempo.
“O problema começa de forma discreta, mas pode evoluir para inflamações crônicas e fibrose, aumentando o risco de cirrose e câncer de fígado”, explica o endocrinologista Paulo Bittencourt, presidente do Instituto Brasileiro do Fígado (Ibrafig).
Apesar de o fígado ter uma impressionante capacidade de regeneração, o especialista alerta que casos de fibrose e cirrose são irreversíveis, o que reforça a importância de exames regulares para verificar a saúde do órgão.
Sintomas da gordura no fígado
Os sintomas podem ser sutis, mas merecem atenção. Entre eles estão:
Cansaço frequente e sensação de fraqueza;
Desconforto ou dor leve no lado direito do abdômen;
Enjoo e perda de apetite;
Inchaço abdominal;
Alterações nos exames de sangue, com aumento das enzimas hepáticas.
Tratamento e prevenção
De acordo com informações do portal Metrópoles, o tratamento da esteatose hepática não envolve o uso de medicamentos, mas sim mudanças no estilo de vida.
“Em geral, quando o paciente adota mudanças consistentes, como alimentação equilibrada, perda de 7% a 10% do peso corporal e prática regular de exercícios, já é possível observar melhora significativa nas enzimas hepáticas e na quantidade de gordura no fígado em cerca de três a seis meses”, explica a gastro-hepatologista Natália Trevizoli, do Hospital Santa Lúcia Sul, em Brasília.
Os médicos reforçam que hábitos saudáveis, como evitar o consumo excessivo de álcool e alimentos ultraprocessados, são fundamentais para manter o fígado em bom funcionamento e prevenir complicações futuras.